撰文/放射師 李佳育
(本文章亦刊登於 The News Lens 關鍵評論)
「照 X 光不是對身體不好嗎?」
「以前看牙醫也沒有拍 X 光片啊!為什麼要拍?」
「X 光照越多張不是對小朋友越不好嗎?」
「照這個對小朋友的發育會不會有影響?」
「照牙齒很不舒服可以不要拍嗎?」
「輻射會不會留在身體裡面?」當牙醫師告訴爸媽要幫小寶貝拍X光片時,爸媽經常會有諸如此類的憂慮。小寶貝年紀小、抵抗力相較於成人弱、身體各方面還在成長發育,一定要拍 X 光片嗎?
看牙齒必經之路: X 光 (X-rays)
拍攝 X 光片是小朋友需要克服的難關,過程中因為需固定和咬住東西,可能有一點點不舒服,例如:噁心感、有一點痛等等,不過,大部分 3 歲以上的小朋友都可以配合。
既然會不舒服,為什麼還要拍呢?
因為一些細小的蛀牙,光用肉眼是無法檢查到的,需要 X 光片的幫忙將它們一網打盡。
小朋友需要拍哪些 X 光 ?分別有什麼用?
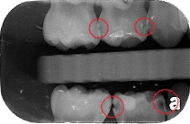
咬翼 X 光片(Bitewing X-rays)
讓醫師評估上顎及下顎的牙冠部分,特別是可以找出牙齒與牙齒接縫處的蛀牙。

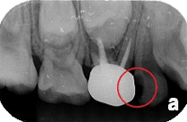
根尖 X 光片(Periapical X-rays)
顯示出整個牙齒、牙冠、牙根尖及牙齒周圍的骨骼組織,可以用來評估牙齒蛀牙的範圍與深度。

咬合面 X 光片(Occlusal X-rays)
拍攝範圍涵蓋整個上顎或下顎牙齒的咬合面。

小朋友應該多久拍一次 X 光 ?
根據美國兒童牙科醫學會(AAPD)的建議,容易蛀牙的小朋友屬於高風險族群,應該每半年接受 1 次 X 光檢查。一般小朋友的話,建議至少 1 年接受 1 次 X 光檢查。
除了請醫師檢查蛀牙,必要的時候,利用 X 光片可以作更好的診斷。
放射性檢查劑量最低:牙科X光攝影

圖中最左邊是牙科 X 光所使用的輻射劑量,僅有 0.005~0.01 毫西弗,也是所有醫療輻射中劑量最低的。
經由牙醫師專業評估,視臨床需要安排 X 光檢查,劑量也會依小朋友的體型和年齡作調整,加上穿戴鉛衣保護生殖部位,使用在小朋友身上是安全無虞的。
我們常常聽到牙醫師舉例:拍牙科 X 光片比坐一次飛機還要低。醫生所說的「低」,到底有多低呢?我們可以拿搭飛機時接收的輻射劑量作比較:

往返台北 – 美國的飛機=0.09 毫西弗
牙科小張 X 光片=0.005 毫西弗
也就是說,坐一次飛機相當於拍攝 18 張的小張 X 光片。

拍 X 光有危險嗎?
我在品味牙醫協助拍 X 光片時,很常遇到家長擔心的問:「多張累積下來,會不會造成小朋友的傷害呢?」
國際輻射防護委員會 ICRP 103 號報告指出,100 毫西弗以下的劑量(包括一次或多次)不會造成臨床上的功能損害。
同樣以牙科小張 X 光片為例,你需要拍攝 20,000 張,才會超過 100 毫西弗的有效劑量限值。一般情況之下,要拍到 20,000 張也是滿困難的一件事!
結語
網路媒體流傳許多錯誤資訊,例如「接受輻射劑量會對身體造成負面影響」,讓家長對於輻射劑量過度擔憂。實際上,醫療院所用於檢查的劑量相當低,牙科 X 光又能幫助牙醫師,仔細把蛀牙通通揪出來,所以請爸爸媽媽放心,把小寶貝的牙齒健康交給我們吧!
相關連結

新竹品味牙醫 Prevail Dental Care
放射師 李佳育
學經歷|
中臺科技大學 醫學影像暨放射科學系學士
大千綜合醫院 放射診斷科
*本站文章內容及圖片均受中華民國著作權法及相關法令保護,非經品味牙醫診所及作者同意前不得轉載、重製、散佈、改作、轉貼、播送或作為背書等行為,以免觸法。引用句子請附上原文標題、作者及原文網址。如需轉載請來信洽談。
※ 聲明:文章為醫師經驗談,每人口腔情形不盡相同,如有不適即早就醫檢查才是正解 ※